For referring practices only

Rapid Access
Restorative Referral

A dedicated referral route for your complex restorative cases. Your patient is seen promptly, you’re kept informed at every stage, and they return to your care on completion.

HV

Dr. Hiren Vaghela

Prosthodontist, BDS MCLINDENT
Full prosthodontic training completed
MCLINDENT qualified
GDC Specialist Register — pending addition
Initial consultation £150 incl. written report

Clinical scope

Cases Dr. Vaghela accepts

Dr. Vaghela accepts referrals across the full breadth of complex restorative dentistry. If you’re unsure whether a case is suitable, call us — he’s happy to discuss informally before a formal referral is made.

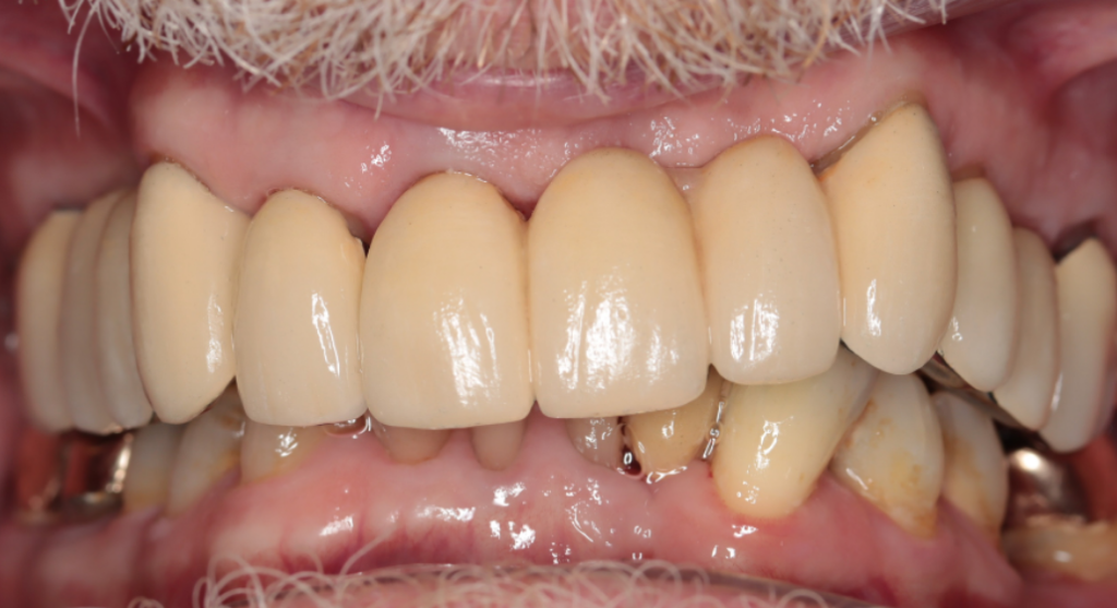
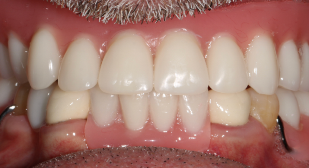
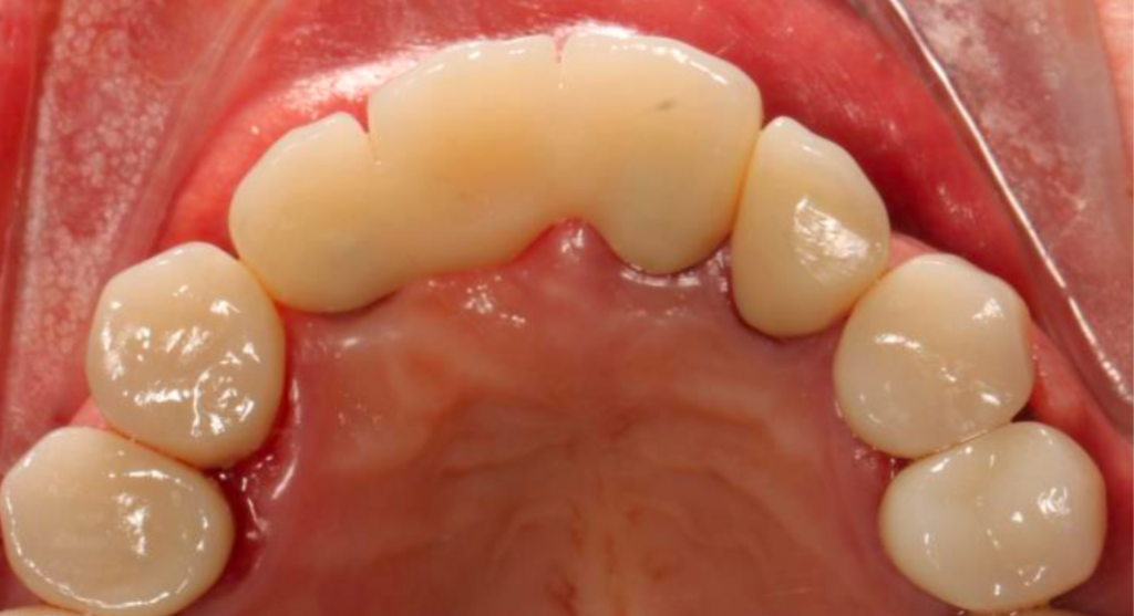
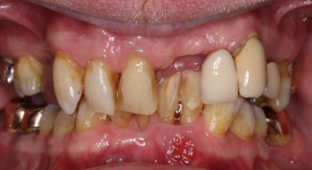
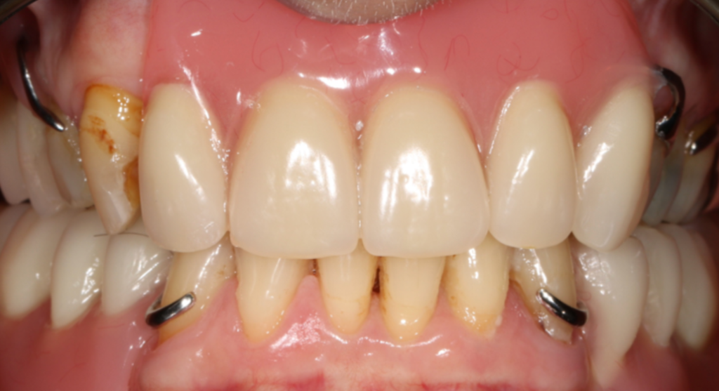
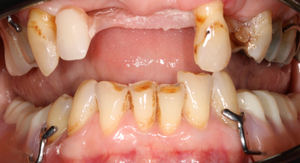
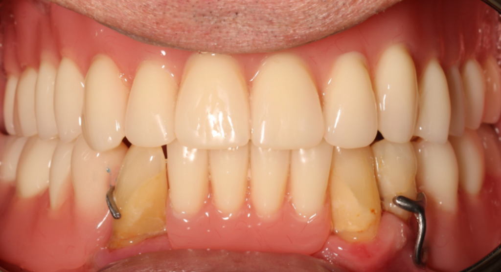
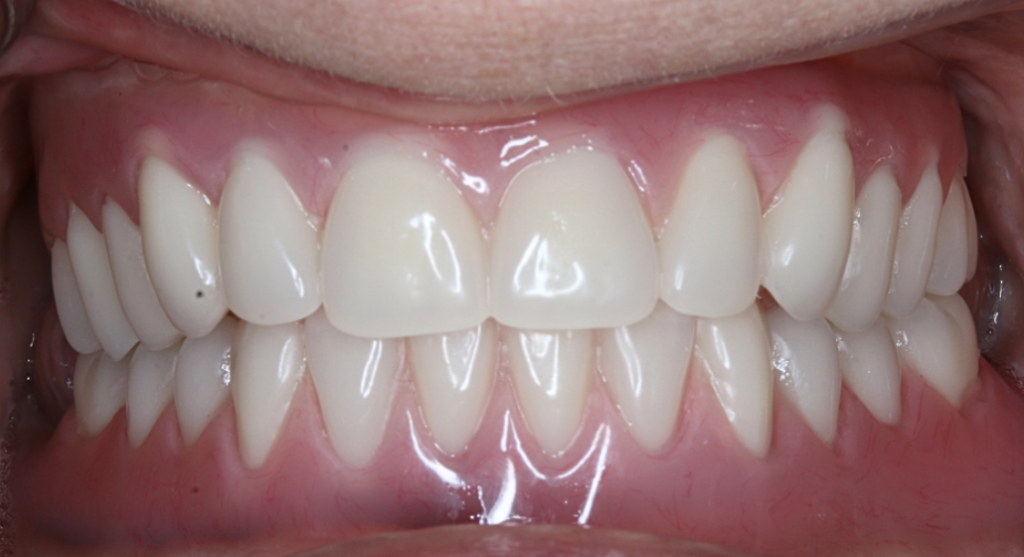
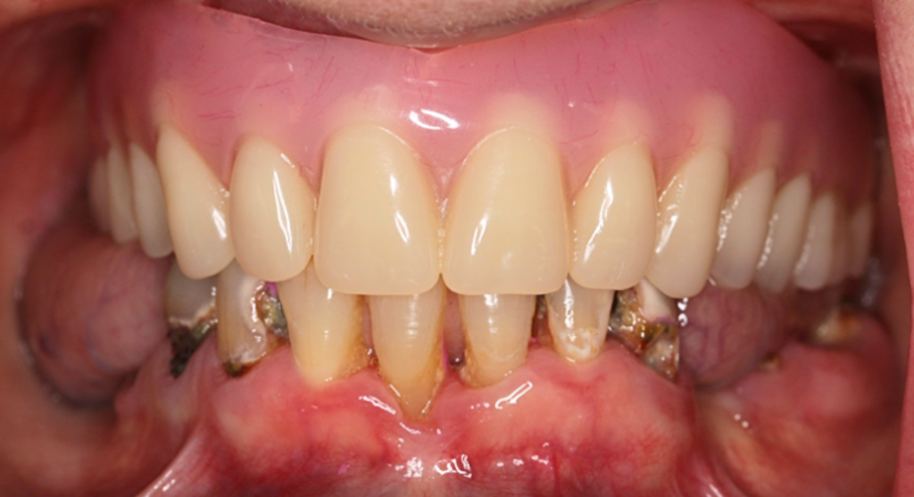
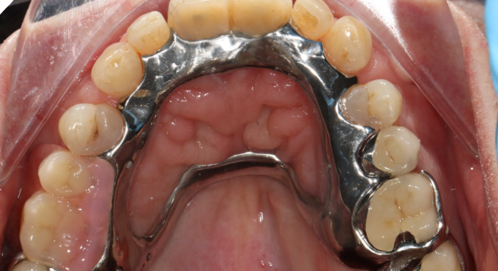
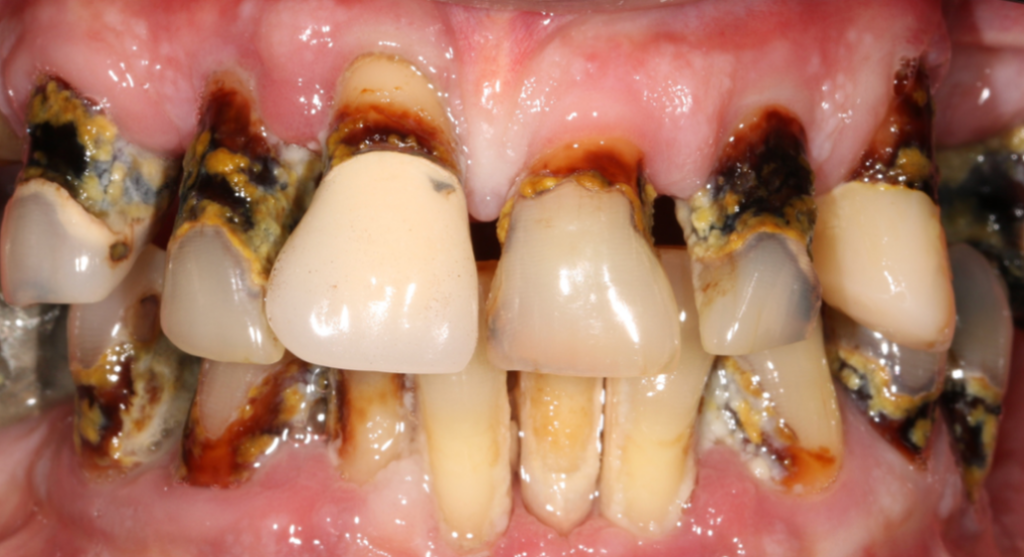
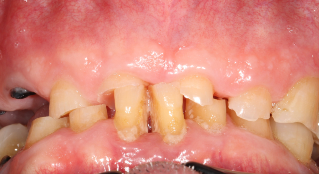
Case portfolio of Dr. Vaghela

View before and after cases across the full scope of restorative work

Full-mouth Rehabilitation

Complex occlusal management, worn or failing dentition, complete restorative rebuilds

Implant Restorations

Implant-supported and implant-retained crowns, bridges, and full-arch restorations

Crowns and Bridgework

Single units to full arch, including cases with complex occlusal or aesthetic demands

Removable Prosthetics

High-quality partial and complete dentures, including cases where previous prosthetics have failed

Smile Design and Aesthetics

Multi-unit aesthetic cases requiring a coordinated functional and cosmetic plan

Complex or Medically Compromised

Patients with complex histories, multiple previous failures, or cases outside your current scope

Patient Journey

What happens after you refer

Every referring practice is kept informed at each stage. Your patient returns to you on completion — with a full discharge summary.

1

Referral Received

We acknowledge your referral within 5 working days and confirm the patient’s appointment date back to your practice.

2

Patient seen promptly

Through this pathway, patients are offered an appointment within 2 weeks. We contact the patient directly.

Rapid access: 2 week target
3

Written report to referring dentist and patient

A full consultation report is sent to dentist and patient – you can discuss the case directly with Dr. Vaghela at any point.

4

Treatment plan given to patient

Before any treatment begins, the proposed plan is given to the patient and can be shared with you with your patient’s consent.

5

Milestone updates throughout

For longer treatment courses, we provide progress updates to your practice at agreed intervals.

6

Patient returned to your care

On completion, a full discharge summary is sent. Your patient is returned to your practice — this is not a route for us to build a general patient base.

When to refer

Common referral triggers

Not sure if a case warrants referral? Call us. These are the most common presentations Dr. Vaghela sees through this pathway.

Patient has worn dentition with a reduced or compromised OVD
Multiple missing teeth requiring coordinated implant, bridge, or prosthetic planning
Patient has failed multiple restorations elsewhere and needs a fresh assessment
Implant crown or bridge required and the case is outside your current scope or confidence
Significant aesthetic concerns alongside functional challenges requiring multi-unit planning
Patient is medically complex and restorative management requires specialist-level care
Patient is unhappy with previous dentures and conventional approaches have not resolved the issue
Full-mouth rehabilitation indicated — worn, failing, or heavily restored dentition across arches
Make a Referral

Refer a Patient

Complete the form below or call us to speak with Dr. Vaghela before referring. All referrals are acknowledged within 5 working days. For urgent cases, please call directly.

Patient Details

Patient Date of Birth(Required)

Referring Dentist Details

Reason for Referral

Please choose from the following:
Drop files here or
Max. file size: 200 MB.
    Consent & Confirmation

    Hear From Our Smiling Patients

    This is the best dental practice in Northampton. From the dentist to hygienist, to the reception the whole team is just amazing. I have always been a very nervous patient and have over come my dental … Read More

    Serap Odabasi Castle

    Spot the crown 🦷 another great experience with Chris and Imogen at East Park Dental. The crown is so good and pretty much pain free to have it fitted. Very impressed with the feel and colour, just … Read More

    Tiffany Watson

    I have been coming to East Park dental for years now and I’ve never had a bad experience. The team are always lovely, the prices are fair and my teeth are always well looked after. I will never go a… Read More

    Kirstin Dale Cooper

    If you have a fear of going to the dentist, then that fear will disappear as soon as you step into the East Park Dental practice. Warm, inviting environment and exceptional staff. I had a root canal w… Read More

    TIFFANY Watson

    I came to see Oliver today. I have had so many bad experiences with dentists. He was a breath of fresh air. I felt comfortable I felt like I have finally found a dentist I can trust. I have epilepsy a… Read More

    Jenny Lawrence

    New Patient Exam Offer £60 (Usually £85) Comprehensive oral health assessment with our experienced Northampton dental team